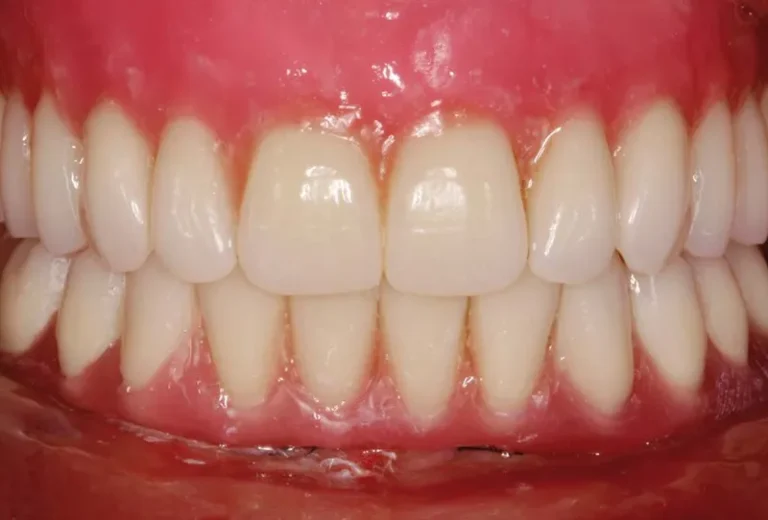
Implantes dentales en España – Precios y costes actualizados
El coste de los implantes dentales en España varía significativamente según la región, la clínica…
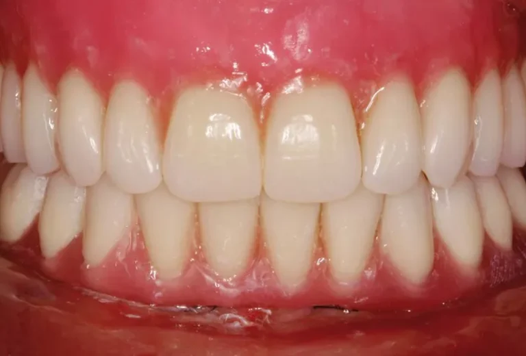
El coste de los implantes dentales en España varía significativamente según la región, la clínica y el tipo de tratamiento específico. Mientras que un implante dental unitario puede oscilar entre 800 y 1.500 euros, el precio final dependerá de factores como la necesidad de injerto óseo, la calidad del material utilizado y la experiencia del…
Si notas que tu implante dental se ha aflojado, es fundamental actuar con rapidez y contactar inmediatamente con tu dentista. Este problema puede deberse a diversos factores como infecciones, sobrecarga oclusal o pérdida ósea, y requiere atención profesional urgente para evitar complicaciones mayores. Mientras esperas tu cita, evita manipular el implante, mantén una higiene meticulosa…
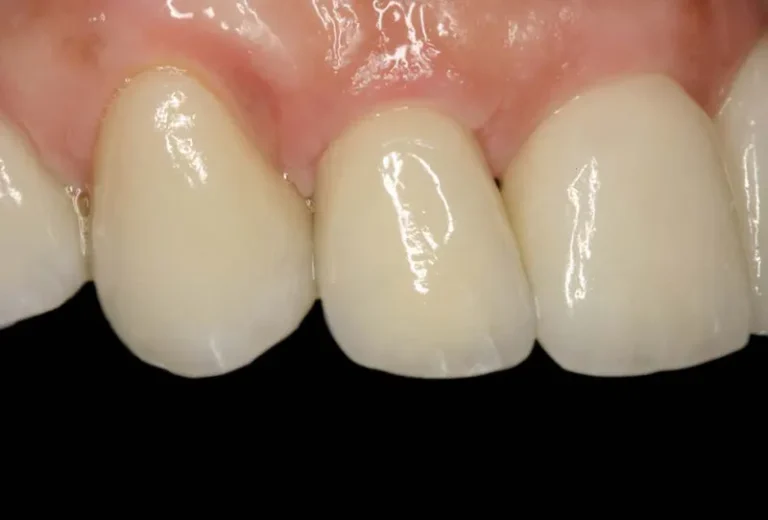
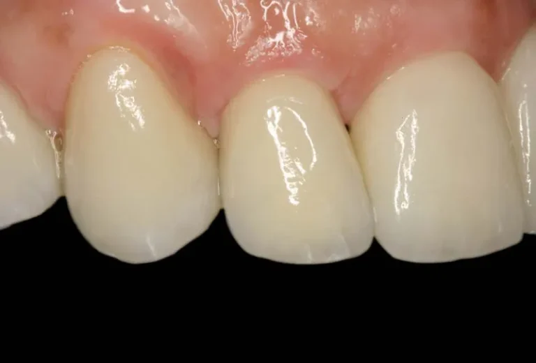
Las diferencias entre implante dental y puente dental son fundamentales para elegir el tratamiento más adecuado. El implante dental consiste en un tornillo de titanio que se inserta en el hueso maxilar, reemplazando la raíz del diente perdido, mientras que el puente dental se apoya en los dientes adyacentes para sostener la prótesis. Aunque ambas…
La regeneración ósea es un procedimiento quirúrgico fundamental en implantología dental que permite recuperar el volumen y la densidad del hueso maxilar o mandibular cuando este se ha perdido. Este tratamiento se vuelve necesario cuando el paciente no dispone de suficiente tejido óseo para sostener un implante dental de manera segura y estable. Mediante el…
La elección de una marca de implantes dentales es crucial para garantizar el éxito del tratamiento y la satisfacción del paciente a largo plazo. Las mejores marcas de implantes dentales se distinguen por su riguroso proceso de fabricación, respaldo científico y trayectoria en el mercado. Empresas como Straumann, Nobel Biocare y Zimmer Biomet lideran la…
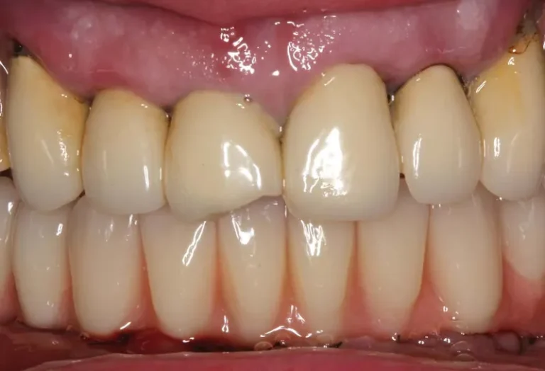
Mantener unas encías saludables es fundamental cuando tienes implantes dentales, ya que la longevidad y el éxito de estos dependen directamente de la salud del tejido gingival que los rodea. La higiene adecuada, el uso de herramientas específicas como cepillos interdentales y una técnica correcta de limpieza son esenciales para prevenir la periimplantitis y otras…
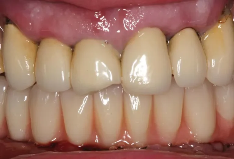
Los implantes dentales y los dientes naturales presentan características únicas que los diferencian tanto en estructura como en funcionamiento. Mientras los dientes naturales cuentan con ligamentos periodontales que proporcionan sensibilidad y capacidad de adaptación, los implantes se integran directamente al hueso mediante oseointegración. Esta distinción fundamental influye en aspectos como la sensibilidad a la temperatura,…
Practicar deportes después de recibir implantes dentales es completamente seguro una vez finalizado el periodo de oseointegración. Los pacientes pueden retomar su actividad física habitual tras 8-12 semanas de la cirugía, cuando el implante se ha integrado correctamente con el hueso. Sin embargo, en deportes de contacto, es recomendable utilizar protectores bucales personalizados para prevenir…
La elección entre implantes dentales y dentaduras removibles es una decisión importante que afecta directamente a nuestra calidad de vida. Los implantes dentales ofrecen una solución permanente que imita la función y apariencia de los dientes naturales, mientras que las dentaduras removibles son una opción más económica y menos invasiva. Cada alternativa tiene sus propias…
Después de someterte a una cirugía de implantes dentales, la elección de los alimentos es crucial para garantizar una recuperación óptima. Durante las primeras semanas, tu boca necesita especial cuidado y protección, por lo que deberás evitar ciertos alimentos que podrían comprometer el proceso de cicatrización o dañar la zona intervenida. Conocer qué alimentos no…
La osteointegración es el proceso biológico fundamental que determina el éxito de los implantes dentales. Durante este fenómeno, el hueso del maxilar crece y se fusiona directamente con la superficie del implante de titanio, creando una conexión estructural y funcional que garantiza la estabilidad a largo plazo. Este proceso, descubierto por el profesor Per-Ingvar Brånemark…
La sanación de un implante dental es un proceso gradual que varía según cada paciente. Generalmente, la integración completa del implante con el hueso (osteointegración) tarda entre 3 y 6 meses, aunque la recuperación inicial de los tejidos blandos ocurre en las primeras semanas. Durante este período, es fundamental seguir las indicaciones del especialista para…